Effets sur la santé
L'expertise collective de l'Inserm de 1996 a réaffirmé que toutes les variétés d'amiante sont cancérigènes. Mais l'inhalation de fibres d'amiante peut aussi entraîner d'autres pathologies comme l'asbestose ou les plaques pleurales.
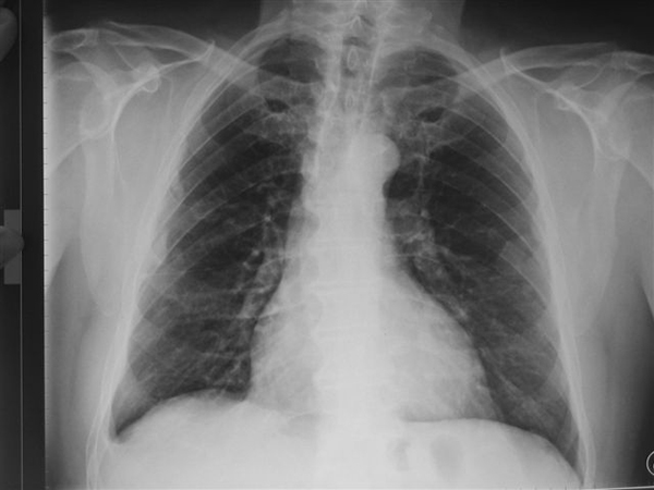
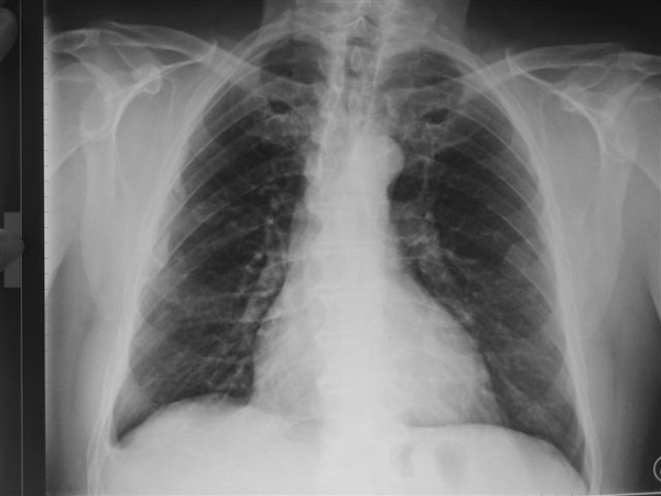
© INRS
Radiographie des poumons montrant une pathologie liée à l’amiante
Mécanisme toxicologique
Les fibres d'amiante sont constituées de faisceaux de fibrilles qui se séparent très facilement sous l'effet d'usinages, de chocs, de frottements… pour former un nuage de poussières très fines, souvent invisibles à l'œil nu.
La dimension des fibres est déterminante pour évaluer leurs effets sur la santé :
- plus une particule est petite, plus elle peut pénétrer profondément dans l'appareil respiratoire ;
- plus les fibres sont longues et fines, plus l'organisme a des difficultés à les éliminer, et plus elles sont dangereuses.
Les fibres retenues dans les poumons peuvent interagir localement avec les tissus et provoquer une inflammation du poumon et/ou du tissu qui l'enveloppe, la plèvre. Ces manifestations sont très progressives et ne se détectent pas facilement à un stade précoce. Si la quantité de fibres retenues est importante, une fibrose du poumon profond, l'asbestose, peut apparaître après plusieurs années.
© Incisif, d'après F. Metzger pour l'INRS
Vue générale de l'appareil respiratoire de l'homme (poumons / plèvre)
Les cellules épithéliales des bronches sont également altérées par les fibres (divisions cellulaires perturbées). Dans certains cas et après un long temps de latence (entre le début de l'exposition et l'apparition de la maladie), une transformation cancéreuse peut survenir (cancer broncho-pulmonaire). Ces cancers broncho-pulmonaires seront d'autant plus fréquents qu'il existe une exposition concomitante à d'autres agents cancérogènes (effet du tabac notamment).
Enfin, certaines fibres vont avoir tendance à migrer vers l'extérieur de la cavité pleurale pour atteindre son enveloppe externe : la plèvre pariétale. À ce niveau, on pourra également voir se développer des zones de fibroses localisées (appelées plaques pleurales) ou, après une latence encore plus longue, un cancer de la plèvre : le mésothéliome.
Atteintes pleurales
On distingue plusieurs lésions pleurales qui peuvent coexister ou se succéder :
- plaques pleurales (ou fibrose pleurale circonscrite) pouvant se calcifier au fil du temps ;
- pleurésie bénigne : épanchement de liquide ;
- épaississements pleuraux diffus ;
- atélectasie par enroulement : condensation d’un territoire pulmonaire.
Les plaques pleurales sont le plus souvent asymptomatiques et ont longtemps été considérées comme un « marqueur d'exposition » à l'amiante sans conséquence. L’amélioration des techniques de surveillance, notamment l’utilisation du scanner thoracique, permettant une meilleure détection des plaques pleurales, a permis de recueillir de nombreuses données et d’étudier sur plus de 5 000 sujets le lien possible entre plaques pleurales et incidence du mésothéliome pleural ou encore le lien possible entre plaques pleurales et risque de décès par cancer du poumon. L’hypothèse de ces liens, longtemps controversée, ne peut plus être complètement écartée (voir la fiche toxicologique Amiante).
Les lésions pleurales bénignes sont prises en charge au titre du tableau 30 du régime général et du tableau 47 du régime agricole.
Asbestose
Dans le cas d'exposition importante, l'amiante peut conduire à une fibrose pulmonaire : l'asbestose. Le risque d'asbestose et sa gravité dépendent du niveau et de la durée de l'exposition. Le temps de latence est très variable. Il est d'autant plus court que l'exposition à l'amiante a été élevée. Il est généralement compris entre 10 et 20 ans.
L'évolution de la maladie est variable : soit elle reste stable, soit elle peut progresser vers l'insuffisance respiratoire.
Toute asbestose s'accompagne d'un risque accru de cancer broncho-pulmonaire.
L'asbestose est prise en charge comme maladie professionnelle au titre du tableau 30 du régime général et du tableau 47 du régime agricole.
Cancers
La plupart des cancers liés à l'amiante concernent le tissu pulmonaire, les bronches (cancers broncho-pulmonaires) ou la plèvre (mésothéliome pleural).
Il arrive que des mésothéliomes apparaissent au niveau d'autres enveloppes que la plèvre : le péritoine (qui entoure les viscères), le péricarde (qui entoure le cœur) et le tissu testiculaire.
Le rôle de l'amiante dans l'apparition de cancers du larynx et des ovaires a été confirmé par le Circ en mai 2009. L’Anses a également conclu que le lien causal entre les cancers du larynx et des ovaires et l’exposition à l’amiante était avéré.
Le cancer des ovaires et le cancer du larynx sont pris en charge comme maladies professionnelles au titre du tableau 47 ter du régime agricole et du tableau 30 ter du régime général.
Le niveau de preuve est limité concernant le rôle de l’amiante dans l’apparition du cancer colorectal, du pharynx et de l’estomac (Circ 2012). Depuis, plusieurs études semblent apporter des indications supplémentaires de l’existence d’une relation causale (particulièrement avec les cancers colorectaux). Une étude française a ainsi trouvé une relation dose/effet significative entre l’incidence du cancer colique et l’exposition à l’amiante. La caractérisation du danger lié à l’ingestion d’amiante a été menée par l’Anses en 2021 sur la base de la revue de la littérature. L’Anses indique que « les données des études épidémiologiques ayant évalué le risque de cancer lié à l’ingestion d’eau contaminée par l’amiante sont insuffisantes pour établir un lien formel entre la consommation de cette eau et un risque accru de cancer digestif ».
Dans tous les cas, les premiers symptômes ou signes radiologiques surviennent plusieurs années après l'exposition.
Cancer broncho-pulmonaire
L'exposition à l'amiante constitue à elle seule un facteur de risque de cancer broncho-pulmonaire, même en l'absence d'asbestose. Le risque d'atteinte tumorale est majoré par l'exposition à d'autres agents cancérogènes, en particulier la fumée de tabac. L’effet conjoint sur le risque de cancer broncho-pulmonaire est compatible avec un modèle multiplicatif.
|
Synergie tabac et amiante : risque de développer un cancer broncho-pulmonaire en fonction d'une exposition à l'amiante et/ou au tabac |
||
|---|---|---|
|
|
Non exposé à l'amiante |
Exposé |
|
Non exposé au tabac |
1 |
5,17 |
|
Exposé au tabac |
10,85 |
53,24 |
(D'après Hammond, Selikoff et Seidman, 1969)
Le cancer broncho-pulmonaire apparaît en moyenne 15 à 20 ans après l'exposition.
Lorsqu'il est lié à l'amiante, le cancer broncho-pulmonaire est pris en charge comme maladie professionnelle au titre du tableau 30 bis du régime général et du tableau 47 bis du régime agricole.
Mésothéliome
Le mésothéliome pleural est un cancer de la plèvre. Il est quasi spécifique d'une exposition antérieure à l'amiante. L'exposition à l'amiante qui est à l'origine d'un mésothéliome a pu survenir plusieurs dizaines d'années avant le diagnostic. II n’a pas été identifié de seuil d’exposition en dessous duquel le risque d’apparition du mésothéliome pleural serait nul. En dehors de l’amiante, d’autres causes de mésothéliomes sont connues (ex. : érionite, fluoro édénite) ou suspectées (ex. : fibres céramiques réfractaires, radiations ionisantes, virus SV40). Le rôle du tabac dans le développement du mésothéliome n'a pas été démontré.
Le mésothéliome est pris en charge comme maladie professionnelle au titre du tableau 30 du régime général et du tableau 47 du régime agricole.
Depuis 2012, le mésothéliome fait partie des maladies à déclaration obligatoire : ceci permettra notamment d’évaluer l’incidence des expositions environnementales dans le développement de cette pathologie.
L'étude des gènes impliqués dans le mésothéliome a été entreprise à l'INRS dans le but de mieux comprendre la biologie du mésothéliome et de décrire le plus exhaustivement ses caractéristiques moléculaires. Les résultats de cette étude éclairent certains mécanismes pouvant expliquer la transformation de cellules saines de la plèvre en cellules malignes. Par ailleurs, la connaissance des gènes impliqués dans la résistance aux chimiothérapies permettra d'affiner les traitements.
D'autre part, un programme national de surveillance du mésothéliome (PNSM) a été initié en 1998 par l'Institut de veille sanitaire (InVS), devenu Santé publique France en 2016. Une procédure spéciale d'enregistrement des cas de mésothéliome a été mise en place dans 17 départements puis étendue progressivement à 21 départements, intégrant notamment le département de la Haute-Corse, particulièrement concerné par les expositions environnementales liées à la présence d’affleurements naturels d’amiante. Les résultats du PNSM, basés sur la modélisation, permettent d’estimer entre 43 000 (hypothèse basse) et 60 000 (hypothèse haute) le nombre de décès par mésothéliome entre 1955 et 2050.
Pour en savoir plus
-
Ressources INRS
-
Liens utiles
- Tableaux des maladies professionnelles 30, 30 bis du régime général et 47, 47 bis du régime agricole
- Expertise Inserm amiante
- Goldberg S. Rey G. « Modélisation de l’évolution de la mortalité par mésothéliome de la plèvre en France – Projections à l’horizon 2050 ». Santé travail, INvS, 2012
- Caractérisation du danger lié à l’ingestion d’amiante. État des lieux des connaissances actuelles. Avis de l’Anses. Rapport d’expertise collective. Juillet 2021
- Programme national de surveillance du mésothéliome pleural (PNSM) : vingt années de surveillance des cas, de leurs expositions et de leur reconnaissance médico-sociale (France, 1998-2017)
- Monographie du Centre International de Recherche sur le Cancer (IARC) de 2012 sur l’amiante
- Maladies professionnelles. Cancers de l’ovaire et du larynx en lien avec l’exposition à l’amiante. Avis de l’Anses. Rapport d’expertise collective. Janvier 2022
-
Autres références bibliographiques
- MOHR S. ; RIHN B. « Etude de l’expression des gènes du mésothéliome humain par la technologie des puces à ADN ». Bulletin du cancer, vol. 88, n° 3, mars 2001, pp. 305-313.
- RIHN B.H. ; MOHR S. ; McDOWELL S.A. ; BINET S. ; et coll. « Differential gene expression in mesothelioma » FEBS Letters , Pays-Bas, vol. 480, 2000, pp. 95-100. (En anglais)
-
Pairon JC., Laurent F., Rinaldo M., Clin B., Andujar P., Ameille J., Brochard P., Chammings S., Ferretti G., Galateau-Salé F., Gislard A., Letourneux M., Luc A., Schorlé E., Paris C., « Pleural plaques and the risk of Pleural Mesothelioma », Journal of National Cancer Institut, janvier 2013 : 9p
-
Paris C, Thaon I, Hérin F, Clin B et al. - Occupational Asbestos Exposure and Incidence of Colon and Rectal Cancers in French Men : The Asbestos-Related Diseases Cohort (ARDCo-Nut). Environ Health Perspect. 2017 ;125(3) :409-415.