Accès rapides :

Vous êtes ici :

  1. Accueil
  2. Publications et outils
  3. Bases de données
  4. Eficatt
  5. Tuberculose (rubrique sélectionnée)

Tuberculose

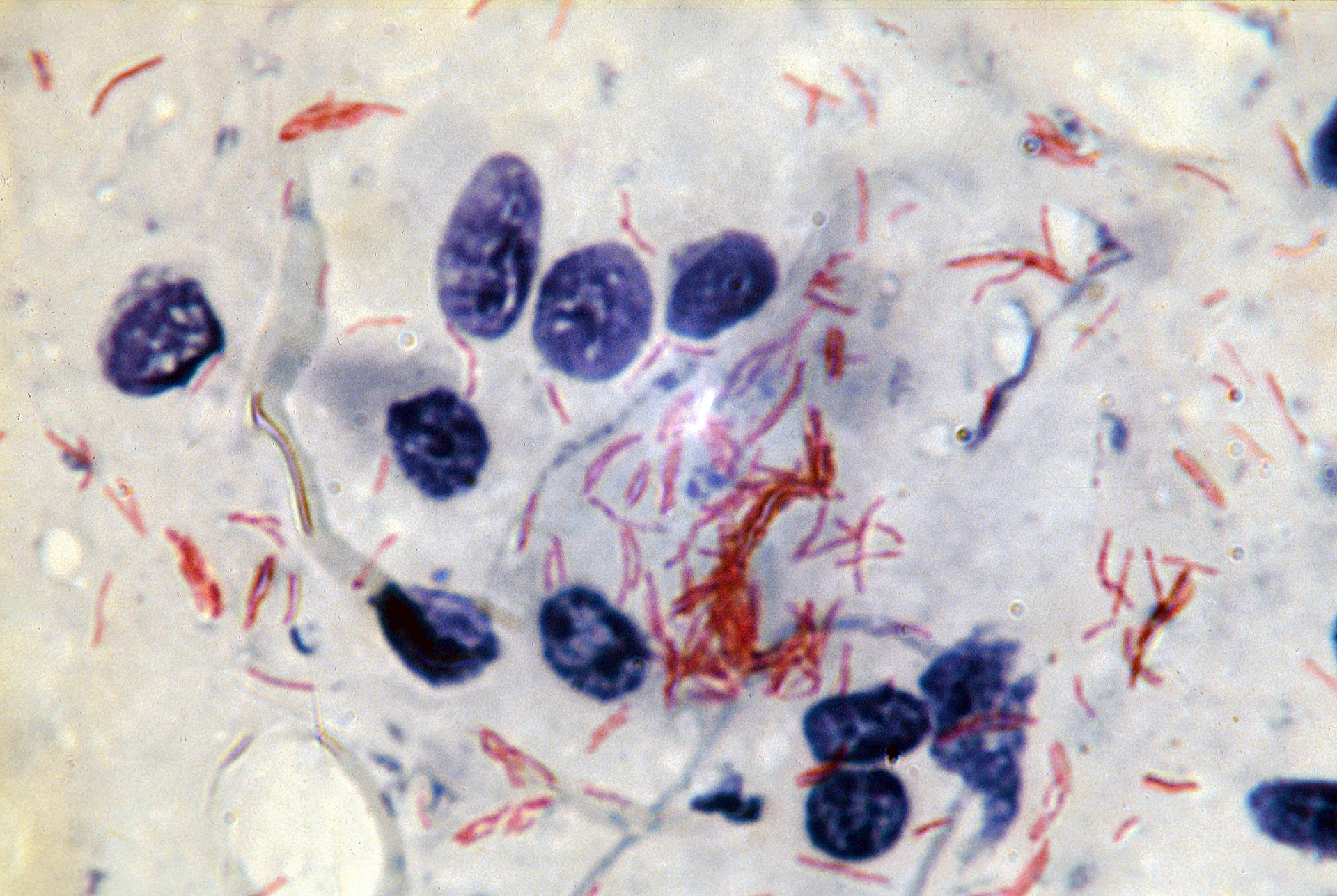
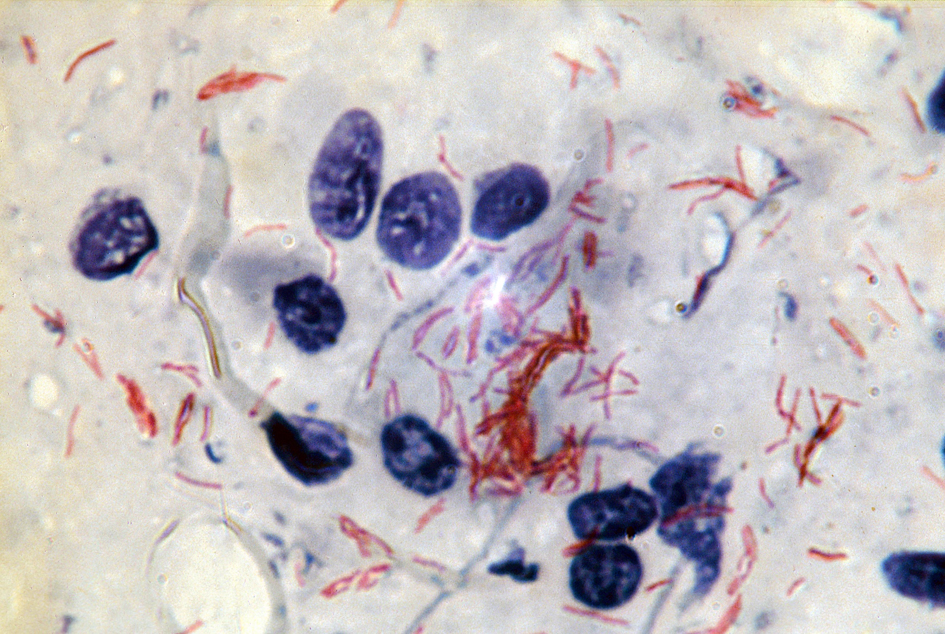
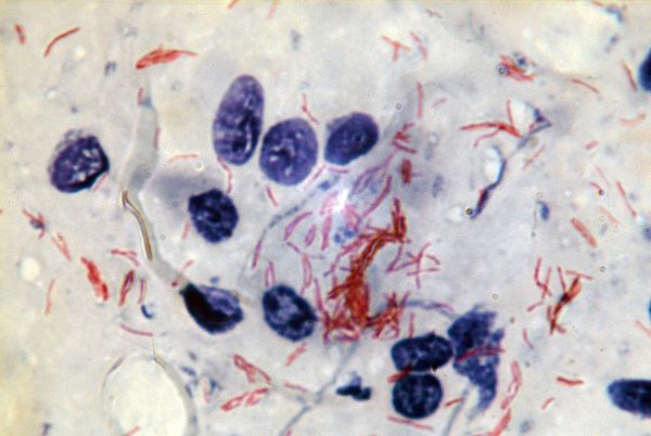
Mycobacterium tuberculosis

Sommaire de la fiche

Édition : septembre 2023

Agent pathogène Guide de lecture

Descriptif de l'agent pathogène

Bacille tuberculeux (Mycobacterium tuberculosis)

  • Nom

    Mycobacterium tuberculosis

  • Synonymes

    • Bacille de Koch
    • BK
  • Type

    Bactérie
  • Groupes de classement

    • 3

Mycobacterium complexe tuberculosis : le principal est Mycobacterium tuberculosis.

Ne seront pas traités ici, vu leur rareté en France, les autres mycobactéries du complexe tuberculosis : M. africanum, M. pinnipedii, M. microti, M. caprae, M. canettii et M. bovis qui fait l'objet d'une fiche spécifique.

Réservoir et principales sources d'infection

Réservoir
  • Type(s)

    • Homme

Le réservoir principal est l'homme atteint de tuberculose active des voies respiratoires (poumon, larynx, cordes vocales, bronches). Néanmoins, certains mammifères peuvent être infectés (primates non humains).

Principales sources d'infection

Sécrétions bronchiques

Vecteur(s)
Pas de vecteur.

Viabilité et infectiosité

Viabilité, résistance physico-chimique

Le bacille de la tuberculose est très résistant : il reste virulent pendant des mois sur des surfaces inertes. Il est sensible à la chaleur humide (121°C pendant au moins 15 minutes). Les mycobactéries sont très résistantes aux désinfectants en raison de la structure de leur paroi riche en lipides : le glutaraldéhyde, l'hypochlorite de sodium, l'éthanol à 70°, l'acide peracétique sont bactéricides vis-à-vis des mycobactéries mais avec des temps de contact plus longs qu'avec les autres bactéries. Certains désinfectants sont inefficaces contre M. tuberculosis, notamment les composés d'ammonium quaternaire ou la chlorhexidine (1).

Infectiosité

Un micro-organisme est suffisant pour provoquer une infection.

Après exposition à un aérosol infecté : 30 % des sujets, en moyenne, s'infectent, ce qui se manifeste le plus souvent uniquement par un virage des réactions cutanées tuberculiniques et/ou une positivité des tests Interferon Gamma Release Assays ou IGRA (cf. diagnostic).

Une personne non traitée et atteinte de tuberculose pulmonaire active contamine en moyenne 10 à 15 personnes par an.

Liens utiles